اطلس انگل شناسی

پلاسمودیوم مالاریه

اسپورداران

همانند ویواکس بیماریزایی شدیدی ندارد. پلاسمودیوم مالاریه در مقایسه با ویواکس تاثیر کمتری روی گلبول‌های قرمز آلوده دارد. گلبول‌های قرمز بزرگ نمی‌شوند و در شرایط طبیعی دانه‌های رنگی نیز به چشم نمی خورند ولی در رنگ‌آمیزی‌های اختصاصی به صورت نامنظم دانه‌ها (دانه‌های زیمن) به خوبی روی سیتوپلاسم دیده می‌شوند.

راهنمایی های پایه:

  1. خون مویرگی باید از طریق سوراخ کردن نوک انگشت (فینگر استیک) یا خون وریدی از طریق خون گیری وریدی (ونیپانکچر) گرفته شود.
  2. اسمیرهای خونی، حداقل دو اسمیر ضخیم و دو اسمیر نازک، باید در سریع‌ترین زمان ممکن پس از جمع آوری خون تهیه شوند. تاخیر در تهیه اسمیرها می‌تواند باعث ایجاد تغییر در مورفولوژی انگل و ویژگی‌های رنگ آمیزی شود.
  3. نقاط شوفنر را می‌توان با رنگ آمیزی گیمسا نشان داد که نسبت به رنگ آمیزی رایت یا رایت-گیمسا ارجح‌تر است.

در عفونت‌های ناشی از پلاسمودیوم مالاریه (P. malariae)، اندازه‌ی گلبول‌های قرمز، نرمال یا مقداری کوچکتر از حد نرمال (× 4/3) هستند.

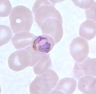
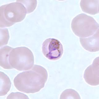
شکل حلقوی (رینگ‌ فرم)

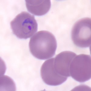
شکل‌ حلقوی پلاسمودیوم مالاریه دارای سیتوپلاسم محکم و یک نقطه کروماتینی بزرگ می‌باشند.

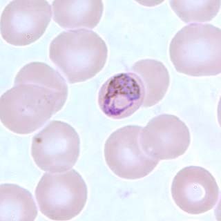
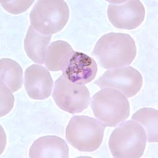
تروفوزوئیت

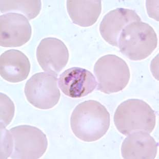
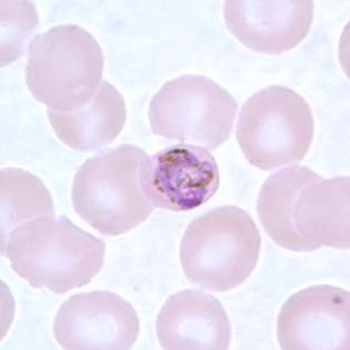
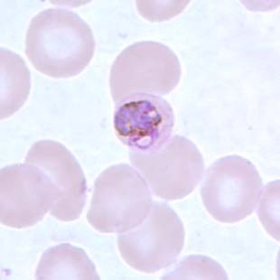
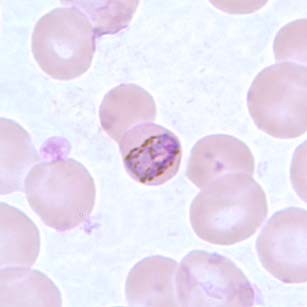
تروفوزوئیت‌های پلاسمودیوم مالاریه دارای سیتوپلاسمی فشرده و متراکم و نقطه کروماتینی بزرگ هستند. در مواردی تروفوزوئیت‌ها به شکل "نواری" یا "سبد مانند" با رنگدانه‌های درست و رنگی مایل به قهوه‌ای تیره مشاهده می‌شوند.

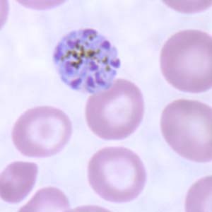
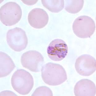
شیزونت

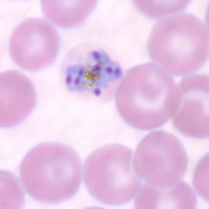
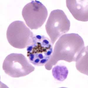
شیزونت‌های پلاسمودیوم مالاریه دارای 6 الی 12 مِروزوئیت با هسته‌های بزرگ هستند که در اطرافشان توده‌‌های رنگدانه‌ای به رنگ قهوه‌ای تیره مشاهده می‌شود. گاهی این مِروزوئیت‌ها به گونه‌ای کنار هم قرار می‌گیرند که حالت رز مانند یا رُزت فرم ایجاد می‌شود.

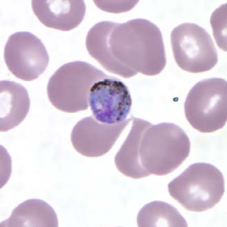
گامتوسیت

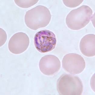
شکل گامتوسیت‌های پاسمودیوم مالاریه، بیضی تا گرد می باشد و دارای رنگدانه‌های قهوه‌ای پراکنده می باشند؛ این فرم از پلاسمودیوم مالاریه می تواند تمام گلبول قرمز را پر کرده و آلوده کند.

 

 

 

 

 

 

 

 

 

 

پل ایده‌آل پارس
‎تروفوزوئیت باند فرم پلاسمودیوم مالاریه
گامتوسیت
رینگ در اسمیر خونی ضخیم
رینگ در اسمیرهای خونی نازک
شکل نواری تروفوزوئیت در اسمیر خونی نازک
تروفوزوئیت در اسمیر خونی ضخیم
شکل نواری تروفوزوئیت در اسمیر خونی نازک
شکل سبد مانند تروفوزوئیت در اسمیر خونی نازک
تروفوزوئیت‌ها در اسمیر خونی نازک
تروفوزوئیت‌ها در اسمیر خونی نازک
شیزونت در اسمیر خونی ضخیم
شیزونت‌ها در اسمیر خونی نازک خونی
شیزونت‌ها در اسمیر خونی نازک - به شکل مروزوئیت‌ها به حالت رز مانند یا رزت فرم توجه کنید.
شیزونت‌ها در اسمیر خونی نازک
گامتوسیت در اسمیر خونی ضخیم
گامتوسیت در اسمیر خونی نازک
گامتوسیت در اسمیر خونی نازک

© 2020 پل ایده آل پارس. تمام حقوق نزد شرکت پل ایده‌ال پارس محفوظ است.

WWW.MEDPIP.COM