
مطالعه موردی بیمار شماره 51 ، تشخیص شما چیست؟
بررسی وضعیت بیمار
یک مرد ۳۶ ساله با سابقهی ۳ هفتهای خستگی، تب و کبودی خودبخودی به یک مرکز درمانی مراجعه میکند.
طی معاینهی فیزیکی، ضایعات پورپوریک منتشر مشاهده شد.
نتایج آزمایش خون بیمار به شرح زیر است:
- Hb: 6 g/dl
- WBC: 5 × 10⁹/l
- Platelets: 5 × 10⁹/l
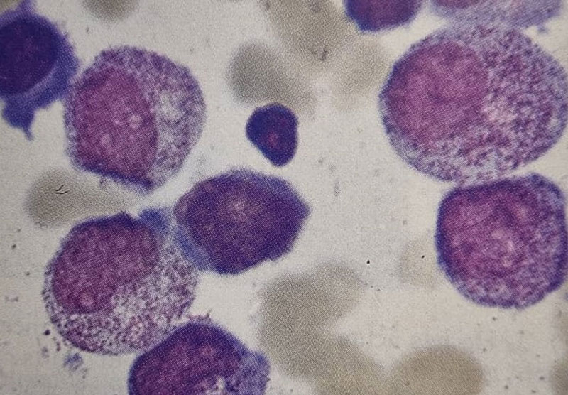
آسپیرهی مغز استخوان او در شکل های 51a , 51b , 51c نشان داده شده است.



بیمار ۳ دوره شیمیدرمانی شدید دریافت کرده و سپس تحت پیوند مغز استخوان آلوژن از یک خواهر یا برادر کاملاً سازگار قرار گرفته است.
۱۲ روز پس از پیوند، دچار افزایش وزن، بزرگی دردناک کبد همراه با زردی، آسیت و نارسایی کلیه میشود.
بیمار نسبت به ترانسفوزیون پلاکت مقاوم شده است.
سؤالات
1- تشخیص اولیه چیست؟
بیمار مبتلا به لوسمی حاد است و در سلولهای میلوئیدی او شواهدی از تمایز همراه با تشکیل گرانول و وجود Auer rods مشاهده میشود. بر اساس طبقهبندی FAB (French–American–British)، این بیماری در گروه AML نوع M2 قرار میگیرد.
2- تغییرات سیتوژنتیکی مشخص که معمولاً در این بیماری رخ میدهند، کداماند؟
این بیمار دارای ترانسلوکاسیون t(8;21) است که معمولاً با پیشآگهی مطلوب در AML نوع M2 همراه میباشد.
سایر تغییرات سیتوژنتیکی مرتبط با AML عبارتاند از:
- ترانسلوکاسیون t(15;17) در AML نوع M3 (لوسمی پرومیلوسیتی حاد)
- اینورژن 16 در AML نوع M4 همراه با ائوزینوفیلهای غیرطبیعی
- تریزومی 8 و همچنین کروموزوم فیلادلفیا t(9;22) که در CGL ترانسفورمشده مشاهده میشود
میلودیسپلازی اغلب با ناهنجاریهای کروموزومهای 5 و 7 مرتبط است. منوزومی 7 که هم در AML و هم در اختلالات میلودیسپلاستیک/میلوپرولیفراتیو دوران شیرخوارگی دیده میشود.
3- علت احتمالی عارضهی پس از پیوند او چیست؟
بیمار دچار بیماری انسداد وریدی (Veno-occlusive disease) شده است. اوج بروز این عارضه معمولاً در ۲ تا ۳ هفتهی نخست پس از پیوند آلوژن مغز استخوان رخ میدهد و شیوع کلی آن حدود ۲۰ تا ۲۵ درصد است. علت دقیق آن ناشناخته است، اما عوامل خطری همچون بیماریهای زمینهای کبد و دریافت دوزهای بالای شیمیدرمانی سیتوتوکسیک یا رژیمهای شدید پیش از پیوند در ایجاد آن نقش دارند.
مطالعات مختلف برای پیشگیری، استفاده از هپارین با دوز پایین، پنتوکسیفیلین و پروستاگلاندین E1 را بررسی کردهاند. درمان عمدتاً حمایتی است، اما در برخی موارد از فعالکننده پلاسمینوژن نوترکیب با موفقیت برای حل لختههای داخل کبدی استفاده شده است.
از سوی دیگر، بیماری حاد پیوند علیه میزبان (GVHD) نیز اغلب در مراحل اولیه پس از پیوند ظاهر میشود. تظاهر بالینی آن شامل بثورات پوستی (شکل 51d) بهویژه در کف دستها و تنه، اسهال و نتایج غیرطبیعی در تستهای عملکرد کبد است. با این وجود، بروز ادم و آسیت در GVHD شایع نیست.




