مطالعه موردی

مطالعه موردی بیمار شماره 61 ، تشخیص شما چیست؟

شرح حال بیمار

یک مرد ۴۰ ساله اهل جزائر منطقه کارائیب  (West Indian) دچار لنفادنوپاتی دوطرفه آگزیلاری (تورم غدد لنفاوی زیر بغل در هر دو طرف) است. او به مدت ۳ تا ۴ هفته دچار ضعف و سفتی پیشرونده در هر دو پا همراه با از دست رفتن حس شده است.
نتایج ازمایش شمارش کامل خون او به شرح زیر است:

  • Hb : 11.1 g/dl
  •  WBC: 39 × 10⁹/L
  • Platelets: 91 × 10⁹/L

آزمایش‌های بیوشیمیایی نشان می‌دهد:

  • Urea: 13 mmol/L
  • Na :142 mmol/L
  • K: 5.5 mmol/L
  • Ca²⁺ :3.15 mmol/L

همچنین:

  • Albumin: 38 g/L
  • Alkaline phosphatase: 35 IU/L
برای آنتی‌ژن‌های سلول T شامل CD2، CD3
61c
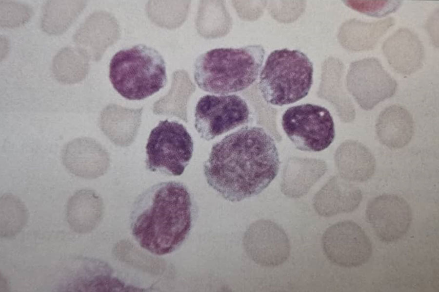
گسترش خون محیطی بیمار
61b
گسترش خون محیطی بیمار
61a

سوالات و پاسخ‌ها

لطفا پیش از مشاهده پاسخ سوالات زیر، سعی کنید نظر خودتان را در رابطه با نتایج این بیمار مطرح کنید.

1. نظر شما در رابطه با گسترش خون محیطی بیمار ( تصاویر 61a,61b) چیست؟

گسترش خون محیطی بیمار لنفوسیت‌های آتیپیک با هسته‌های پیچ‌خورده (convoluted nuclei) را نشان می‌دهد. او هایپرکلسمی دارد و سابقه‌ای که با میلیت عرضی (transverse myelitis) سازگار است.

امتیاز شما به این صفحه

2. چه آزمایش‌های بیشتری باید انجام دهید؟

آزمایش‌های زیر باید انجام شود:

  • سرولوژی برای HTLV-1 یا همان ویروس لنفوم/لوسمی سلول T انسانی. یک عفونت رتروویروسی که در منطقه کارائیب و ژاپن اندمیک است.
  • بیوپسی غده لنفاوی.
  • بررسی‌های مرحله‌بندی (Staging investigations) که باید شامل سی‌تی‌اسکن قفسه سینه و شکم، بررسی مغز استخوان و LDH سرم باشد.
  • آنالیز ایمونو‌فنوتایپ سلول‌های T خون محیطی برای تأیید اینکه این سلول‌ها از نوع T هستند.
امتیاز شما به این صفحه

تشخیص، درمان و پیش‌آگهی چیست؟

بیمار به لوسمی/لنفوم حاد سلول Tمبتلا است. این یک لنفوم درجه‌بالا (high-grade lymphoma) است که بهترین درمان آن شیمی‌درمانی ترکیبی و تهاجمی می‌باشد.

این بیمار همچنین به هیدراتاسیون و درمان با استروئید یا بیس‌فسفونات برای هایپرکلسمی خود نیاز دارد. این تومور معمولاً بسیار تهاجمی است و پاسخ ضعیفی به درمان می‌دهد. این سلول‌ها برای آنتی‌ژن‌های سلول T شامل CD2،  CD3 (شکل 61c) و CD5 مثبت هستند و معمولاً CD4  (سلول T کمکی) مثبت و CD8  (سلول T سرکوب‌گر) منفی می‌باشند.

امتیاز شما به این صفحه

جهت دسترسی به سایر مطالعات موردی هماتولوژیک، کلیک کنید

Self-Assesment Colour Review of Clinical Haematology., Atul B. Mehta., MANSON PUBLISHING Ltd., 1995

امتیاز شما به این صفحه

نوشته های مشابه

دیدگاهتان را بنویسید

نشانی ایمیل شما منتشر نخواهد شد. بخش‌های موردنیاز علامت‌گذاری شده‌اند *

دکمه بازگشت به بالا