
مطالعه موردی بیمار شماره 62، تشخیص شما چیست؟
شرح حال بیمار
یک بیمار ۳۵ ساله با سابقهی ۴ تا ۶ هفته تب، کاهش وزن، بیاشتهایی و بیحالی به یک مرکز درمانی مراجعه کرده است. او محل سکونت ثابت ندارد و همچنین از سرفه آزاردهنده همراه با خلط چرکی شکایت دارد. در معاینه، ظاهر بیمار نامرتب و رسیدگینشده است (unkempt) و تب دارد .(دمای بدن ۳۹ درجه سانتیگراد.). بیمار دچار لنفادنوپاتی گردنی است. همچنین کبودیهایی روی پاهای او دیده میشود.
نتایج آزمایش شمارش کامل خون او به شرح زیر است:
- Hb: 5 g/dl
- MCV: 84 fl
- WBC: 9 × 10⁹ /L
- Platelets: 34 × 10⁹ /L



سوالات و پاسخها
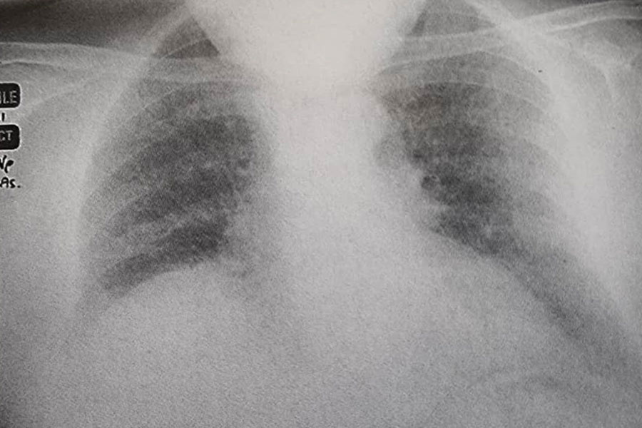
1. نظر شما در مورد رادیوگرافی قفسه سینه چیست؟ (شکل62a)
تغییرات دوطرفهای به صورت سایهاندازی رتیکولونودولار منتشر دیده میشود که با توجه به این شرح حال، با سل میلیاری (Miliary tuberculosis) مرتبط است.
2. نظر شما در مورد آسپیراسیون مغز استخوان بیمار (شکل62b)چیست؟
در آسپیراسیون مغز استخوان ،ماکروفاژهای غیرطبیعی دیده میشوند که گلبولهای قرمز بالغ، گلبولهای سفید و پلاکتها را فاگوسیت کردهاند. این تغییرات مطرحکنندهی سندرم هموفاگوسیتیک هستند. (شکل62c نیز مشاهده شود)
3.تشخیص هماتولوژیک چیست و چه شرایطی ممکن است با آن همراه باشد؟
این وضعیت ممکن است در اثر عفونتها (برای مثال سل یا عفونتهای ویروسی) بهویژه در بیماران ایمنوساپرس رخ دهد. همچنین ممکن است با نئوپلازیها (برای مثال لنفوم بدخیم) همراه باشد یا بخشی از یک نئوپلاسم اولیه هیستوسیتیک باشد (مانند histocytic medullary reticulosis) همچنین گزارش شده است که این سندرم در ارتباط با بیماریهای خودایمنی نیز دیده میشود.
4.چه آزمایشهای تکمیلی باید انجام شود؟
آزمایش HIV باید انجام شود.


