
مطالعه موردی بیمار شماره 56 ، تشخیص شما چیست؟
شرح حال بیمار
مردی ۱۹ ساله با سابقهای دو هفتهای از بروز کبودی و خونریزی هنگام مسواک زدن دندانها، به یک مرکز درمانی مراجعه کرده است. در سابقهی پزشکی او هیچ بیماری جدیای گزارش نشده است. دوست همراه او اظهار داشته که طی چند روز اخیر، بیمار ظاهری پرخون پیدا کرده و صورت و پلکهایش متورم، متمایل به آبی و احتقانی شدهاند.
| هموگلوبین (Hb) | 9.7 g/dl |
| WBC | 170 × 10⁹ /L |
| پلاکتها | 31 × 10⁹ /L |






سوالات و پاسخها
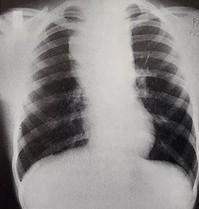
1. یافته های مشاهده شده در تصویر رادیوگرافی قفسه سینه شکل (56a) را تفسیر کنید.
تصویر رادیوگرافی قفسه، سینه تودهای را در ناحیه مدیاستن قدامی نشان میدهد که میتواند منشاء تیموسی یا ناشی از درگیری غدد لنفاوی باشد. سابقهی بالینی بیمار حاکی از بروز انسداد ورید اجوف فوقانی است.
2. نظر شما درباره گسترش خون محیطی شکل (56b) و آزمون سیتوشیمی با فسفاتاز اسیدی (شکل 56c) چیست؟ تشخیص احتمالی چیست و چگونه میتوان آن را تأیید کرد؟
گسترش خون محیطی ، تعداد زیادی بلاستهای لوسمیک را نشان میدهد که سلولهایی بزرگ با سیتوپلاسم اندک، هستک های برجسته و آشکار، و هسته پیچخورده هستند. این سلولها در واکنش سیتوشیمیایی برای فسفاتاز اسیدی در قطبهای خود (اصطلاحاً «قطبیت مثبت») واکنش مثبت نشان میدهند و احتمالاً از نوع سلولهای T میباشند.
محتملترین تشخیص لوسمی لنفوبلاستیک حاد از نوع سلول Tب(T-ALL) است که معمولاً در این گروه سنی مشاهده میشود.
تأیید تشخیص از طریق ایمونوسیتوشیمی با استفاده از آنتیبادیهای مونوکلونال انجام میشود تا نشان داده شود سلولها برای آنزیم TdT(ترمینال دئوکسینوکلئوتیدیل ترانسفراز) مثبت هستند (تصویر56d) و مارکر های سلولT مانند CD3 را بیان می کنند (تصویر56e)، در حالیکه برای مارکرهای سلولهای B مانند CD19 منفی هستند (تصویر56f ).
این سلول های T مونوکلونال همچنین بازآرایی مجزایی از ژنهای گیرندهی سلول T نشان میدهند که بهعنوان شاخصی اختصاصی برای بیماری قابل استفاده است و در تشخیص باقیماندهی حداقلی بیماری (MRD) پس از شیمی درمانی کاربرد دارد.
3. چه عوارضی ممکن است در آغاز درمان ایجاد شود و چه راهکارهایی برای پیشگیری از آنها وجود دارد؟
این بیماری نوعی تومور حاد و بهشدت تکثیرشونده است. با آغاز درمان، احتمال بروز سندرم لیز تومور وجود دارد و ممکن است انعقاد داخلعروقی منتشر (DIC) نیز ایجاد میشود. از عوارض متابولیک این وضعیت میتوان به نارسایی حاد کلیه، هیپوکالمی و هیپومنیزمی اشاره کرد.
برای پیشگیری، بیمار باید با تزریق مایعات داخلوریدی بهخوبی هیدراته شود و داروی آلوپورینول دریافت کند که با مهار آنزیم گزانتیناکسیداز در کبد از بروزنقرس القا شده و نفروپاتی اوراتی ناشی از درمان جلوگیری میکند.
قلیاییسازی ادرار از طریق تجویز داخلوریدی بیکربنات سدیم به حذف مؤثر متابولیتهای مضر و آسیب رسان کمک میکند و باید در سراسر دورهی درمان تداوم یابد. علاوه بر این، اطمینان از برونده ادراری کافی (بیش از ۳ لیتر در روز) نقش مهمی در پیشگیری از نارسایی حاد کلیه دارد.
شیمی درمانی اولیه در لوسمی لنفوبلاستیک حاد (ALL) معمولاً ترکیبی از پردنیزولون، وینکریستین و آنتراسیکلینها (مانند داونوروبیسین) است و در ادامه، داروهایی نظیر ال-آسپاراژیناز، (مشخصا) سیتوزین آرابینوزید و اتوپوزاید اضافه میشوند.
درمان شیمیائی نگهدارنده (بعنوان مثال: متوترکسات و 6-مرکاپتوپورین روزانه، ووینکریستین همراه پردنیزولون به صورت ماهانه) بهمدت حدود دو سال ادامه مییابد.
برای پیشگیری از درگیری سیستم عصبی مرکزی (CNS)، درمان داخلنخاعی و داخل وریدی با دوز بالای متوترکسات و در برخی موارد رادیوتراپی جمجمهای–نخاعی نیز مورد نیاز است.



