
مطالعه موردی بیمار شماره ۴۰، تشخیص شما چیست؟
شرح حال بیمار
مردی ۳۱ ساله با سابقهی ۲ تا ۳ هفتهای تب، کبودی و خستگی به یک مرکز درمانی مراجعه میکند. بزرگی طحال قابل لمس نیست. نتایج آزمایش شمارش کامل سلولهای خونی وی به شرح زیر است:
- هموگلوبین: ۶٫۷ گرم در دسیلیتر
- شمارش گلبولهای سفید: ۱۰⁹ × ۱٫۳ در لیتر (۱۲٪ بلاست، ۶۱٪ نوتروفیل)
- شمارش پلاکتها: ۱۰⁹× ۱۲ در لیتر
آسپیراسیون مغز استخوان بیمار ناموفق بوده و بیوپسی ترفین برای وی انجام میشود.
سوالات و پاسخها
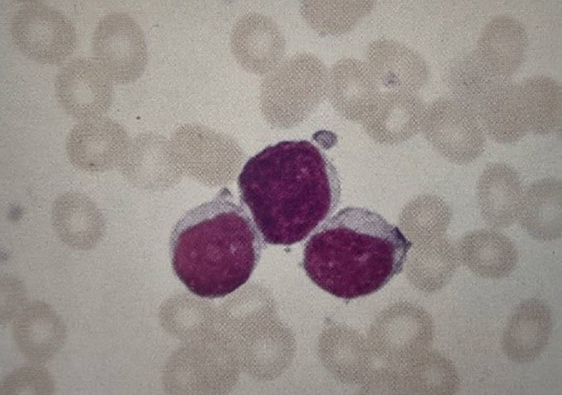
1. نظر شما در رابطه با گسترش خون محیطی بیمار (تصور ۴۰a) چیست؟
گسترش خون محیطی بیمار وجود بلاستهای در گردش را نشان میدهد که احتمالاً لوکمییک هستند.
2. نظر شما در مورد نتایج بیوپسی ترفین مغز استخوان (تصویر ۴۰b) چیست؟ رنگآمیزی رتیکولین (تصویر ۴۰c) چه چیزی را نشان میدهد؟
بیوپسی ترفین مغز استخوان افزایش تعداد مگاکاریوسیتها و کانونهای پراکندهای از بلاستهای نابالغ را نشان میدهد. رنگآمیزی رتیکولین افزایش فیبرهای رتیکولین را نشان میدهد که بیانگر میزان بالای فیبروز مغز استخوان است. این فیبروز علت عدم موفقیت در آسپیراسیون مغز استخوان بوده است.
3. کدام آزمایشهای تکمیلی میتوانند در تشخیص کمککننده باشند؟
برای تشخیص تکمیلی نیاز است یک ارزیابی کامل بالینی و رادیولوژیکی انجام شود. نبود اسپلنومگالی و شکل تقریباً طبیعی سلولهای قرمز خون، فیبروز مزمن مغز استخوان را (که در این سن بسیار نادر است) بعید میسازد. تصویر بالینی، بیشتر به یک فیبروز حاد مغز استخوان اشاره دارد و باید تلاش بیشتری برای تمرکز روی بلاستها و شناسائی آن ها صورت گیرد. این کار در بهترین حالت، از طریق بررسی اسمیر خون محیطی انجام میشود.
سیتوشیمی و ایمونوسیتوشیمی با استفاده از آنتیبادیهای مونوکلونال تکنیکهای کمکی بسیار مؤثری هستند.
4. سایر آزمایشات تکمیلی مناسب چیست؟
- بلاستهای میلوئیدی معمولاً با رنگ سودان بلک مثبت میشوند (تصویر۴۰d)
- در لوسمیهای میلومونوسیتی، بلاستها نسبت به کلرواستات (آبی) و بوتیرات استراز (قهوهای) واکنش مثبت نشان میدهند (تصویر۴۰e)
- بلاستهای اریتروئیدی معمولاً برای گلیکوفورین A مثبت هستند.
- واکنش پراکسیداز مثبت پلاکتی که به وسیله میکروسکوپ الکترونی قابل مشاهده است و واکنش آنتی بادی منوکلونال با آنتی بادی های آنتی گلیکوپروتئین IIBIIIA مشخص کننده لوکمی مگاکاریوبلاستیک است.
- بررسی با میکروسکوپی نوری با رنگآمیزی رومانوسکی اولیه ممکن است Auer rods را نشان دهد (تصویر ۴۰f) که نشانهای خاص برای لوسمی حاد میلوئیدی (AML) است.
- واریانت M4 Eo از AML نوع M4 (میلومونوسیتیک) (تصویر ۴۰g) با ائوزینوفیلهای غیرطبیعی مشخص میشود و معمولاً با وارونگی کروموزوم ۱۶ همراه است.
4. تشخیص احتمالی چیست؟
تشخیص در این مورد از فیبروز حاد مغز استخوان، لوسمی مگاکاریوبلاستیک حاد(AML-M7) است.
تشخیصهای احتمالی دیگر شامل میلودیسپلازی، ارتشاح مغز استخوان به دنبال سرطان متاستاتیک یا لنفوم ثانویه و بهندرت اختلالات غیر بدخیم مانند لوپوس اریتماتوز سیستمیک میباشد.











یکی از بزرگترین موانع کندی پیش فت علم پزشکی همین اسامی قلمبه و سلمبه خارجی هستند .عزیزم تمامی بیماریها در اثر عفونت و ورود میکروب و باکتری یا هر اسم دیگه هست که تورم های داخلی و فعل و انفعالات خونی و غشایی داخلی و خارجی و اسکلتی و پوستی و آلرژی و هر مرض دیگه در اثر همین موارد عفونت بدن شکل میگیرد آنتی بیوتیکها هنوز موفق به ریشه کنی کامل بیماریها در بدن نشده و حتی بر شدت بیماری و تنوع آن نیز افزوده اند تنها راه طول عمر و از زین رفتن بیماری در جهان انسان تنها و تنها در ریشه کنی ورودی بدن است.که به نظر من بهترین راه هدایت آنها در ضعیف ترین و مناسب ترین مکان در بدن و با اقدامات مختلف سعی در ریشه کنی آنهاست ضمنا شناسایی آنها با توجه به استتار و کاملا به شکل بدن و ناحیه استتار در آمده از بزرگترین مشکلات شناسایی میز میباشد اما هدایت آنها با دارو و یا به هر شکلی برای ریشه کنی کامل و یا بهترین و قویترین دارو جز بهترین. اه حلهای مشکل به شمار می رود.